रीढ़ की हड्डी की प्रक्रियाएं
24X7 आपातकालीन देखभाल और ब्रेन ट्यूमर सर्जरी डॉ. कवींद्र सिंह द्वारा
जब मस्तिष्क का स्वास्थ्य खतरे में होता है, तो देरी से जीवन की गुणवत्ता खराब हो सकती है। डॉ. कवींद्र सिंह सीनियर हैं ब्रेन ट्यूमर डॉक्टर नारनौल समय पर, सुरक्षित और ईमानदार देखभाल प्रदान करना। पूरे क्षेत्र के मरीज़ स्पष्ट निर्णयों और गंभीर स्थितियों से निपटने के लिए उन पर भरोसा करते हैं। आपातकालीन मार्गदर्शन, नियोजित उपचार और परिवार परामर्श प्रदान किया जाता है ताकि रोगी कभी भी अकेला महसूस न करें। कई परिवार पहुंचते हैं क्योंकि यह क्षेत्र में विशेषज्ञ मस्तिष्क देखभाल के लिए सबसे सुलभ विकल्पों में से एक है।
ब्रेन ट्यूमर को समझना
ब्रेन ट्यूमर मस्तिष्क के अंदर एक असामान्य वृद्धि है। कुछ ट्यूमर धीरे-धीरे बढ़ते हैं। कुछ तेजी से बढ़ते हैं। सभी ट्यूमर कैंसर नहीं होते हैं। यहां तक कि गैर-कैंसर ट्यूमर भी मस्तिष्क पर दबाव डालकर समस्या पैदा कर सकते हैं। एक विश्वसनीय हरियाणा में ब्रेन ट्यूमर विशेषज्ञ यह तय कर सकते हैं कि उपचार, निगरानी या सर्जरी की आवश्यकता है या नहीं। शीघ्र जाँच उपचार को आसान और सुरक्षित बनाती है।
ब्रेन ट्यूमर के संकेत और लक्षण लोग अक्सर अनदेखा करते हैं
- सिरदर्द दिन-ब-दिन बढ़ता जा रहा है
- पिछले इतिहास के बिना अचानक दौरे पड़ना
- भोजन के कारण के बिना बार-बार उल्टी होना
- शरीर के एक हिस्से में कमजोरी
- धुंधली या दोहरी दृष्टि संबंधी समस्याएं
- स्मृति हानि दैनिक कार्य को प्रभावित करती है
- व्यक्तित्व या व्यवहार अचानक बदल जाता है
- शब्दों को बोलने या समझने में परेशानी
ब्रेन ट्यूमर के सामान्य कारण
- कुछ ब्रेन ट्यूमर समय के साथ मस्तिष्क कोशिकाओं में परिवर्तन के कारण होते हैं
- पारिवारिक इतिहास कुछ लोगों में जोखिम बढ़ा सकता है
- हानिकारक विकिरण के लंबे समय तक संपर्क में रहने से मस्तिष्क की कोशिकाएं प्रभावित हो सकती हैं
- कमजोर प्रतिरक्षा असामान्य कोशिकाओं को बढ़ने की अनुमति दे सकती है
- कुछ आनुवंशिक स्थितियां ट्यूमर की संभावना को बढ़ाती हैं
- उम्र एक भूमिका निभाती है। जैसे-जैसे लोग बड़े होते हैं, जोखिम बढ़ता है
- शरीर में पिछला कैंसर मस्तिष्क में फैल सकता है
- काम पर रासायनिक जोखिम जोखिम बढ़ा सकता है
अधिकांश ब्रेन ट्यूमर का कोई एक स्पष्ट कारण नहीं होता है। प्रारंभिक चिकित्सा जांच समस्याओं का जल्द पता लगाने में मदद करती है
न्यूरोसर्जन डॉ. कवींद्र सिंह द्वारा डॉक्टर का नोट
"मुझे पता है कि मस्तिष्क की बीमारी कितनी भयावह महसूस कर सकती है। डर स्वाभाविक है। मेरा कर्तव्य है कि मैं शांति और सच्चाई से तुम्हारा मार्गदर्शन करूँ। मैं हर कदम को समझाने, आपकी चिंताओं को सुनने और आपके साथ अपने परिवार की तरह व्यवहार करने का वादा करता हूं। आपकी समझ और सहमति के बिना कोई भी इलाज शुरू नहीं किया जाता है। कहते हैं डॉ. कवींद्र सिंह, किसके बीच है हरियाणा में सबसे भरोसेमंद ट्यूमर डॉक्टर।
डॉ. कवींद्र सिंह एक अनुभवी न्यूरोसर्जन हैं जो ब्रेन ट्यूमर के मरीजों का धैर्य और ईमानदारी से इलाज करते हैं। एक मान्यता प्राप्त के रूप में नारनौल में ब्रेन ट्यूमर विशेषज्ञ जो धीरे-धीरे रिपोर्ट समझाता है और बिना मेडिकल दबाव के सवालों के जवाब देता है। जिले भर के परिवार उन्हें एक भरोसेमंद के रूप में सम्मान देते हैं ब्रेन ट्यूमर डॉक्टर हरियाणा क्योंकि वह मानव देखभाल के साथ विज्ञान को संतुलित करता है।
डॉ. कवींद्र सिंह, सभी में मरीजों की सेवा कर रहे हैं हरियाणा में नारनौल, महेंद्रगढ़, सिंघाना, बुहाना, अटेली, नीमराना, नंगल चौधरी और कनीना साथ ही आस-पास के क्षेत्र।
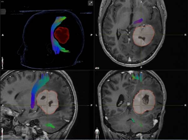
ब्रेन ट्यूमर का निदान और उपचार
हर निर्णय देखभाल, सम्मान और आपके परिवार की समझ के साथ किया जाता है।
निदान ध्यान से सुनने से शुरू होता है। डॉक्टर आपके लक्षणों को नोट करता है, आपकी ताकत, भाषण और संतुलन की जांच करता है। डॉ. सिंह आगे एमआरआई या सीटी जैसे स्कैन की समीक्षा करेंगे। प्रत्येक रिपोर्ट को सरल शब्दों में समझाया गया है, इसलिए कोई भ्रम या भय नहीं है।
उपचार की योजना चरण दर चरण बनाई जाती है। हर मामले में सर्जरी की जरूरत नहीं होती है। कुछ को दवाओं या नियमित निगरानी की आवश्यकता होती है। यदि सर्जरी की आवश्यकता है, तो सुरक्षा पहले आती है। इसका उद्देश्य सामान्य मस्तिष्क समारोह की रक्षा करते हुए समस्या को दूर करना है। लेकिन अगर आपके शरीर को तत्काल या सस्ती ब्रेन ट्यूमर सर्जरी की आवश्यकता है, तो हम आपका मार्गदर्शन करने और पूरी तरह से ठीक होने तक हर चरण में आपका इलाज करने के लिए हैं।
मरीज़ हम पर भरोसा क्यों करते हैं
परिवार इस केंद्र पर भरोसा करते हैं क्योंकि यह एक विश्वसनीय और किफायती के रूप में काम करता है नारनौल में ब्रेन ट्यूमर उपचार अस्पताल। कई मरीज़ दूसरे राज्यों से भी हमारे पास आते हैं, क्योंकि:
- किफायती उपचार लागत को जल्दी समझाया जाता है
- फैसलों में परिवार शामिल होते हैं
- आधुनिक नैदानिक उपकरण
- अंतरराष्ट्रीय सुरक्षा प्रोटोकॉल के साथ स्वच्छ संचालन वातावरण
- प्रशिक्षित कर्मचारी और सावधानीपूर्वक निगरानी ब्रेन ट्यूमर कार के हर चरण का समर्थन करती है
- नियमित अनुवर्ती कार्रवाई और पूर्ण पुनर्प्राप्ति योजना
ब्रेन ट्यूमर के लक्षण हो रहे हैं? डॉ. कवींद्र सिंह से संपर्क करें
स्पष्ट मूल्यांकन और दिशा के लिए हमारे पास आएं। प्रारंभिक परामर्श कार्य, आराम और जीवन को बचा सकता है।
प्रारंभिक मस्तिष्क उपचार जीवन बचाता है!
अक्सर पूछे जाने वाले प्रश्न
1. नारनौल में सही ब्रेन ट्यूमर डॉक्टर कौन है?
डॉ. कवींद्र सिंह नारनौल में एक विश्वसनीय ब्रेन ट्यूमर डॉक्टर हैं, जिनके पास सुरक्षित और नियोजित तरीकों का उपयोग करके ब्रेन ट्यूमर के निदान और प्रबंधन का अनुभव है।
2. मेरे आस-पास के ब्रेन ट्यूमर विशेषज्ञ को क्या विश्वसनीय बनाता है?
जी हां, हरियाणा के सर्वश्रेष्ठ मस्तिष्क स्ट्रोक उपचार चिकित्सक डॉ. कवींद्र सिंह द्वारा दीर्घकालिक योजना, दवाओं और जीवन शैली मार्गदर्शन का उपयोग करके जोखिमों को नियंत्रित करती है।
3. क्या नारनौल में ब्रेन ट्यूमर का इलाज सुरक्षित है?
हां, यह सुरक्षित है क्योंकि यह यहां हरियाणा के सबसे अनुभवी न्यूरोसर्जन द्वारा किया जाता है। अस्पताल में प्रशिक्षित कर्मचारी, उचित स्कैन और चरण-दर-चरण देखभाल है, जब तक कि आप पूरी तरह से ठीक नहीं हो जाते।
4. क्या सभी रोगियों को ब्रेन ट्यूमर के लिए सर्जरी की आवश्यकता होती है?
हरियाणा में एक उत्कृष्ट ब्रेन ट्यूमर डॉक्टर ट्यूमर के प्रकार के आधार पर उपचार तय करता है। कुछ मामलों में केवल निगरानी या दवाओं की आवश्यकता होती है।
5. नारनौल में एक विश्वसनीय ब्रेन ट्यूमर उपचार अस्पताल कौन सा है?
मरीज़ उन केंद्रों पर भरोसा करते हैं जो डॉ. कवींद्र सिंह जैसे ब्रेन ट्यूमर विशेषज्ञ के तहत काम करते हैं और सख्त चिकित्सा और स्वच्छता प्रोटोकॉल का पालन करते हैं।
6. क्या ब्रेन ट्यूमर का इलाज या सर्जरी बुजुर्ग रोगियों के लिए सुरक्षित है?
किफायती ब्रेन ट्यूमर उपचार या सर्जरी बुजुर्ग रोगियों के लिए सुरक्षित हो सकती है जब इसकी सावधानीपूर्वक योजना बनाई जाती है। डॉ. कविंद्र सिंह निर्णय लेने से पहले समग्र स्वास्थ्य, हृदय समारोह और दैनिक गतिविधि की उचित जांच सुनिश्चित करते हैं। उपचार केवल तभी चुना जाता है जब लाभ जोखिम से अधिक हों। प्रत्येक मामले को धीरे और व्यक्तिगत रूप से संभाला जाता है।
द्वारा छवियाँ फ्रीपिक